Services
General
Crown Restorations
Implants
Root Fillings
Cosmetic Dentistry
Hygienist Services
Tooth Whitening
Our Dentists
Technology
Case Studies
About Us
Contact

Advanced Dental

Services
General
Crown Restorations
Implants
Root Fillings
Cosmetic Dentistry
Hygienist Services
Tooth Whitening
Our Dentists
Technology
Case Studies
About Us
Contact
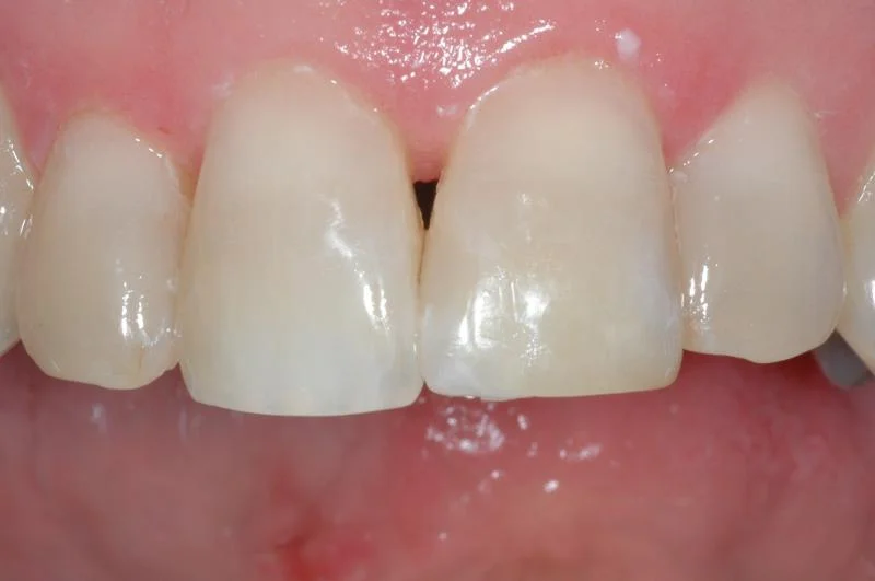
Before

Before

Discoloured, failing old composite

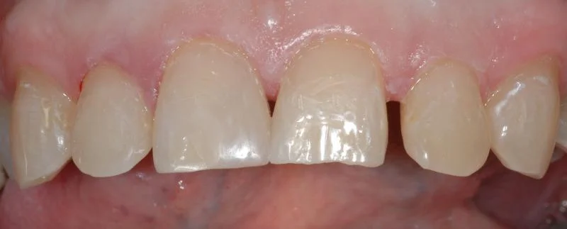
After

After

New white composite fillings

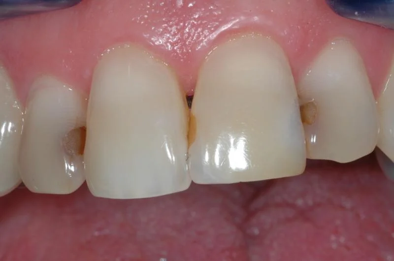
Before

Before

After

After

1 2 3 4
Previous Next
Before
After
Before
After

Contact us – call 03 548 4675 or email

Contact Us →
Back to Top
Home
Services
Our Dentists
Technology
Case Studies
About Us
Contact
Advanced Dental, 70 Collingwood Street, Nelson, Nelson, 7010, New Zealand03 548 4675 care@advanceddental.co.nz
healthysmiles.gif

Copyright ©2017 Advanced Dental. Website by UpShift